Dal 2017 la più importante Agenzia Italiana di Turismo Dentale verso l’Albania.
Affidati alla nostra esperienza e professionalità
Quale Clinica Dentale Scegliere?
Con il nostro METODO UNICO
ti portiamo nella Clinica più giusta per TE

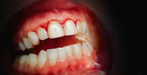
Paradontite

Implantologia

All on 4 - 6 - 8

Faccette Estetiche
Il tuo percorso di riabilitazione dentale
1 - Primo Contatto e Valutazione del Caso
Prima telefonata conoscitiva dove ci esporrai il tuo caso e ci invierai La Panoramica Dentale OPT.
2 - Scelta della Clinica Dentale
Sulla base delle indicazioni terapeutiche dal Nostro Responsabile Medico sceglieremo la Clinica giusta per il tuo caso, sarà elaborato il preventivo.
3 - Si Parte!
In funzione delle date per te più comode,organizzeremo il volo per L’albania, dove in Aereoporto a Tirana vi sarà un nostro Fiduciario che ti accoglierà, e ti accompagnerà prima in Hotel e Poi in Clinica, dove immediatamente sarà effettuata la Tac3D e visita specialistica.
4 - Prima Volta
Per questa fase si prevedono circa 3 giorni e sarà la prima parte dell’intero piano terapeutico: si provederà all’eventuale estrazione dei denti, e posizionamento degli Impianti Dentali. Successivamente si prenderà l’impronta e si realizzarà la protesi provvisoria.
5 - Seconda Volta
per questa fase si prevede un soggiorno di 7 giorni: si realizzeranno le Corone definitive in Ceramica o Zirconio ( a tua scelta) e si verificherà che tutto sia perfetto.
6 - Fine Trattamento
Si ritorna a casa e seguirà un costante follow up affinchè il lavoro svolto possa essere duraturo nel tempo.
7 - Assistenza post operatoria nella tua area di residenza in Italia
La nostra rete di professionisti qualificati garantisce un’assistenza post-operatoria di prima classe direttamente nella tua area di residenza, in Cliniche convenzionate.
Turismo Dentale
Esperienza Dentale Eccellente
Cos'e' il Turismo Dentale
Identifica le tue esigenze odontoiatriche per soluzioni personalizzate.
Pianificazione del Tuo Viaggio
Per dare inizio al tuo percorso verso un sorriso più radioso, ti invitiamo a contattarci ed inviarci la tua radiografia.
Accoglienza e Alloggio in Albania
Trova soluzioni di accoglienza e alloggio per il tuo viaggio odontoiatrico in Albania.
Trattamento Personalizzato
Ricevi un trattamento odontoiatrico personalizzato per le tue esigenze specifiche.
I Nostri Servizi
Per tutte le tue esigenze

Impianti Dentali All In 4, 6, 8
I sistemi implantari All-on-4, All-on-6 e All-on-8 forniscono soluzioni complete per la sostituzione dei denti dell'intera arcata.

Paradontite
La parodontite richiede un trattamento tempestivo per prevenire danni alle gengive e alle ossa.

Faccette
Le faccette dentali migliorano l'estetica e la funzionalità dei denti, correggendo disallineamenti per un sorriso impeccabile.
The Honest Review From Our Client
José Correia
Marketing Manager
Agathe Dufour
Company CEO
Aaron Sauer
High School Student
Recensioni dei clienti
Cronache del Sorriso
Malocclusione dentale: il ciuccio potrebbe essere la causa?
Fumo e impianti dentali
Richiedi il tuo preventivo gratuito
Richiedi il tuo preventivo gratuito
Consulenza Dentale Albania
Siamo sempre al Tuo fianco nell’intero percorso della Tua Riabilitazione Dentale. Affidati alla nostra esperienza e professionalità. Contattaci adesso per organizzare la Visita Gratuita direttamente nella Clinica Dentale più giusta per Te.
